随着生活方式的改变和饮食结构的多样化,脂肪肝这一健康问题日益普遍,逐渐引起了公众的关注。脂肪肝,顾名思义,是指肝脏中脂肪的异常积累。根据医学界的定义,正常肝脏的脂肪含量应低于5%。当脂肪占肝脏重量的5%至10%时,就会被诊断为脂肪肝。这一病症主要分为酒精性脂肪肝和非酒精性脂肪肝,前者与过量饮酒有关,而后者通常与肥胖、糖尿病、高脂饮食等因素密切相关。

(图1)正常肝与脂肪肝对比
研究显示,非酒精性脂肪肝的发病率近年来显著上升,尤其是在肥胖和代谢综合症盛行的背景下。大约30%至40%的肥胖者可能患有不同程度的脂肪肝,而一些研究还提示,非酒精性脂肪肝与心血管疾病、糖尿病等慢性疾病之间存在关联。因此,脂肪肝绝对不是一个可以轻视的问题,它可能是更严重健康问题的“警示灯”。脂肪肝的病因主要与生活方式和饮食习惯相关。多吃高糖、高脂、高热量的食物,缺乏锻炼等行为,会导致肝脏内脂肪过多。同时,肥胖和代谢紊乱,如糖尿病、高血脂等,也是脂肪肝的重要危险因素。特别是一些内脏脂肪较多的人,脂肪肝的发生率较高。尽管脂肪肝在早期往往没有明显症状,但随着肝脏脂肪含量的增加,可能会导致一些不适感,如乏力、食欲不振等。更严重的情况可能导致肝功能损害,甚至发展为非酒精性脂肪性肝炎(NASH)、肝纤维化、肝硬化,乃至肝癌。因此,早期发现和干预显得尤为重要。
如何检测脂肪肝呢?通常,通过影像学检查,如超声、CT或MRI,可以直观地评估肝脏的脂肪量。此外,血液检查能够帮助判断肝功能和脂类代谢的情况,而在某些情况下,肝穿刺活检可以提供更为详细的肝脏病理信息。针对脂肪肝的治疗,首先要调整生活方式。均衡饮食、增加体育锻炼是最重要的两项措施。研究表明,减轻体重5%至10%即可显著改善肝脏健康。患有肥胖、糖尿病等相关疾病的人,更需监听医生建议,制定个性化的健康管理方案。

(图2)脂肪肝超声表现

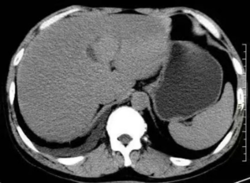
(图3)脂肪肝CT表现
此外,血液检查能够帮助判断肝功能和脂类代谢的情况,而在某些情况下,肝穿刺活检可以提供更为详细的肝脏病理信息。针对脂肪肝的治疗,首先要调整生活方式。均衡饮食、增加体育锻炼是最重要的两项措施。研究表明,减轻体重5%至10%即可显著改善肝脏健康。患有肥胖、糖尿病等相关疾病的人,更需监听医生建议,制定个性化的健康管理方案。
总的来说,脂肪肝是一种潜在的健康威胁,虽然早期往往比较隐蔽,但绝不能掉以轻心。通过改善生活方式和定期的健康体检,可以有效预防和控制脂肪肝的发生,让肝脏更健康。关心脂肪肝,重视肝脏健康,就是关心我们自己的整体健康。希望通过这篇文章,能够增强大家的健康意识,积极采取措施,守护自己的肝脏健康。
(门诊部 赵俊美)



