给宝宝洗澡、换尿布时,细心的家长有时会发现宝宝两侧的臀纹并不对称。随着儿童健康知识的普及,越来越多家长已经了解到,这种看似细微的差异,可能与发育性髋关节发育不良(DDH)有关。然而,由于难以自行判断是否为病理性异常,许多家长难免心生焦虑,忧心宝宝的骨骼发育。
对此,泰安市公共卫生医疗中心特检科超声专家提醒:臀纹不对称只是一个“预警信号”,并不意味着一定存在髋关节发育异常,明确诊断的关键在于及时进行超声检查。
什么是发育性髋关节发育不良?
发育性髋关节发育不良是婴幼儿常见的骨骼肌肉系统疾病,主要表现为髋关节的“球窝”结构发育异常。具体来说,可能是髋臼太浅、股骨头移位甚至是完全脱位。倘若未能及时发现和干预,随着宝宝长大,可能出现步态异常、跛行等状况,甚至成年后会引发髋关节疼痛、骨关节炎,影响终身生活质量。
不过,家长对此也无需过度恐慌。婴幼儿时期的骨骼和关节具有极强的可塑性,尤其是6个月以内,是髋关节发育异常的黄金干预期。只要早发现、早确诊、早干预,大多数宝宝都能通过非手术方式完全恢复正常,不影响未来的行走与奔跑。
如何科学判断宝宝髋关节是否正常?
目前,国际上公认的婴幼儿髋关节超声检查金标准是Graf静态超声法,该方法没有辐射,结果可量化、可重复,特别适合0~6个月的宝宝。
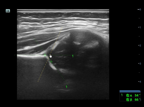
很多家长担心检查会让宝宝不适,对此特检科超声医生表示大可放心。髋关节超声检查全程温和无创,宝宝只无需空腹、憋尿,只需安静配合几分钟即可完成全面筛查,家长可全程陪同;检查时宝宝侧躺、受检侧髋关节朝上,保持髋关节弯曲90度、轻微向内旋转的自然放松姿势,医生会通过超声仪器,找到能清晰看到髂骨下缘、骨性髋臼顶、髋臼盂唇三点的标准切面,再通过两个核心角度判断髋关节发育情况——α角反映髋臼的骨性发育和深度,β角反映软骨的覆盖情况。根据这两个角度,医生会将髋关节发育分为不同类型,对应不同的处理方式。
类型 | 角度范围 | 情况说明 | 处理建议 |
Ⅰ型 | α≥60° | 髋关节发育成熟、正常 | 无需处理 |
Ⅱa型 | α 50°~59°(3个月内) | 生理性不成熟,大多能自己好 | 建议蛙抱姿势,定期复查 |
Ⅱb型 | α 50°~59°(3个月以上) | 骨化延迟 | 需要干预并密切监测 |
Ⅱc型 | α 43°~49° | 髋臼发育不良 | 尽快用支具治疗 |
D型 | α 43°~49°,β>77° | 有半脱位倾向 | 需要较强力度干预 |
Ⅲ型 | α<43° | 股骨头半脱位 | 需要闭合复位+石膏 |
Ⅳ型 | α无法测量 | 股骨头完全脱位 | 多数需要手术 |
超声为何是6个月内“黄金诊断工具”
髋关节发育情况的最佳初筛年龄是出生后4~6周,建议所有婴儿在6个月内完成1次髋关节超声筛查。其中,臀位分娩、有DDH家族史、羊水过少、合并斜颈/跖骨内收、臀纹/腿纹不对称、下肢不等长、髋关节弹响/外展受限的宝宝,需格外重视,务必在最佳初筛年龄完成筛查。
之所以推荐6个月内用超声筛查,核心原因在于:尚未完全骨化,此时做X光检查不仅无法清晰显示软骨结构,还会产生辐射;而超声检查无辐射、操作便捷,还能动态观察髋关节形态和股骨头位置,精准判断是否存在发育不良、脱位等问题,为后续干预提供准确依据,有效避免漏诊或过度治疗。当宝宝≥6个月后,股骨头骨化明显,超声显示效果受限,建议采用骨盆正位X光进行筛查。
确诊髋关节发育异常,该怎么办?
一旦经超声检查确诊为髋关节发育异常,家长也无需急于考虑手术。对于Ⅰ型、Ⅱa型的宝宝,只需做好日常护理、遵循医生的姿势指导,定期复查即可;Ⅱb型及以上的宝宝,通常需要佩戴Pavlik吊带或硬质支具,维持“青蛙腿”姿势,每天佩戴23小时左右,定期通过超声监测复位情况和髋臼发育。

近期髋关节超声筛查中发现的髋关节发育不良病例
家长可以在专业医生指导下,给宝宝做轻柔的被动活动,切记不能粗暴掰腿、强行外展,避免损伤宝宝的股骨头。通过规范干预,大多数轻中度髋关节发育异常的宝宝,几个月内就能恢复正常,能显著降低后期需要手术的概率和残疾风险。
最后,泰安市公共卫生医疗中心特检科再次呼吁,当家长发现宝宝臀纹不对称时,不用过度焦虑,也不要拖延,最正确的做法是及时带宝宝到正规医疗机构进行髋关节超声筛查,用科学的方式明确诊断。
撰稿:特检科
审核:亓鹏 张平 王欣
责编:许元陆



