近日,泰安市公共卫生医疗中心骨科团队成功为一位患有类风湿性关节炎的患者实施了复杂的双膝关节置换术,使患者重新站立行走,开启了崭新的生活篇章。
这位患者被类风湿性关节炎困扰长达20年,曾四处求医,但病情复杂,一直未能得到满意的治疗。近两年,她的双膝肿痛加重,膝关节逐渐僵硬,活动受限,特别是左膝关节外翻畸形逐步加重,甚至无法站立行走,生活起居只能靠家人照料。在了解到泰安市公共卫生医疗中心骨科的治疗实力后,她抱着希望前来就诊。


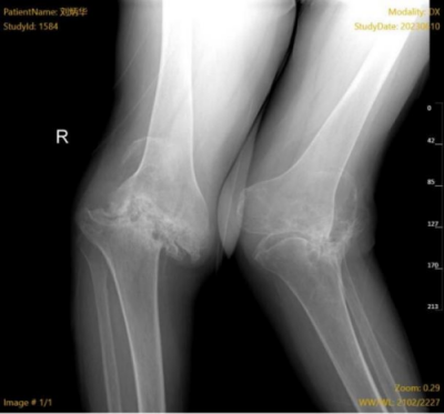
入院时患者双膝影像
入院后,骨科团队对该患者的病情进行了全面评估,发现患者的双膝重度屈曲畸形,屈伸受限,不能站立。拍片检查显示,患者的双膝关节结构关系混乱,关节重度脱位,并且关节面完全吸收,正常结构的关节骨质缺失短缩大约8cm。进一步的辅助检查还发现,患者的血沉、D二聚体严重超标,凝血功能异常。面对如此棘手的病情,骨科团队没有退缩,决定为患者实施关节置换手术,改善患者的生活质量。
在术前准备阶段,骨科团队进行了充分的抗凝血处理,并精确测量了患者的关节情况。他们发现,由于该患者关节畸形严重、骨质缺如太多,常规的关节假体难以适用,必须定制关节才能进行置换手术。在充分准备后,他们成功为患者定制了关节,并分两次手术进行了双膝关节置换。
术后第二天,患者便可以在助行器的帮助下进行行走锻炼,并在骨科医护团队的精心照料下,逐步开始独立行走,生活质量得到了极大的改善。她的脸上也再次露出了久违的笑容,感慨地说:“是你们让我重新站起来,看到了生活的希望!”

术后患者双膝影像(上两图为左膝、下两图为右膝)
术后患者在助行器的帮助下进行行走锻炼
骨科主任国华表示,对于类风湿关节炎严重、关节损坏严重、顽固性关节疼痛或严重功能衰退的患者,人工膝关节置换术是一种有效的治疗手段。该手术能显著改善患者的疼痛、功能及关节活动度等方面,提高生活质量。目前治疗类风湿关节炎的方法多种多样,建议患者根据自己病情的发展程度,咨询经验丰富的医生,以获得最佳的治疗方案。
这次成功的双膝关节置换手术不仅为这位类风湿关节炎患者带来了新的希望,也再次证明了泰安市公共卫生医疗中心骨科团队在复杂骨科手术方面的专业能力和丰富经验。他们用精湛的医术和细心的护理为患者提供了最好的治疗服务,展现了医护人员的高尚品质和专业精神。

国华(左二)带领骨科团队讨论病情
(骨科)



